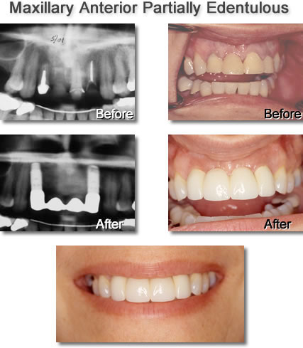
Multiple-tooth Implants
Replacing Multiple Missing Teeth in One Area of the Mouth
Historically multiple missing teeth have been replaced with a removable prosthesis (often called a partial denture) or with a Fixed Bridge. A Fixed Bridge requires the dentist to alter good teeth adjacent to the area of missing teeth.
The ideal way to replace multiple missing teeth is to place dental implants. This avoids the altering of the patient's natural teeth and provides a restoration that has greater longevity. The number of implants required will be determined by the number of teeth to be replaced as well as the quality of the bone.





