Totally Edentulous Patients
"Edentulous" means all teeth are missing.
- A patient may be edentulous for a number of years because of tooth decay or from Periodontal (Gum) Disease.
- A patient may have teeth that are presently hopeless because of tooth decay or advanced Periodontal Disease. This patient will become edentulous and is seeking a solution to conventional removable dentures.
- A patient may be edentulous or becoming edentulous in the upper, lower or both jaws.
The patient that desires implants to replace all of their teeth in either upper, lower or both jaws has a variety of options that need to be discussed during the Examination and Consultation Process.
Every patient is unique and no one treatment plan fits the needs and desires of every patient. Depending on the type of replacements desired by the patient, it is often necessary to increase the quality and quantity of bone through the use of bone grafting procedures referred to as Bone Augmentation Procedures. These procedures are discussed in detail with a patient at the time of the Consultation Appointment.
Options For The Totally Edentulous Patient
All-On-Four or Teeth-In-Three Days
Option 1: All-On-Four or Teeth-In-Three Days. This procedure, which is one of the most revolutionary techniques in Implant Dentistry can fulfill almost all of the needs and desires of the patient with no teeth or the patient losing all of their teeth from decay or gum disease. This procedure allows a patient to have implants and have a complete arch of teeth placed in their mouth in three days. The patient does not need to wear anything removable in their mouth even during the healing stage and the prosthesis provides optimal function and cosmetics. An added benefit is that the patient does not need to undergo additional surgical procedures for Bone Augmentation.


Porcelain to Metal Implant Supported Bridgework
Option 2: Porcelain to Metal Bridgework This option is like the bridges that your dentist has done routinely over the years to replace missing teeth but instead of teeth, Implants are used to support the bridgework. Porcelain to Metal Bridges on implants replacing a full arch of teeth may be the closest procedure to replicating a patient's original teeth. This procedure usually requires a minimum of 6 to 8 implants. In addition Bone Augmentation Procedures are often necessary.

Maxillary & Mandibular Completely Elentulous Fixed Hybrid Prosthesis
Option 3: Hybrid Prosthesis A hybrid or fixed-detachable prosthesis is a combination of an implant-supported overdenture and an implant supported fixed bridge. Four to six implants are usually used and prosthesis is screwed or cemented onto the implants. The prosthesis is removable by your dentist but cannot be taken out by the patient. This option is often used when the patient states, "I don't want to remove my teeth."

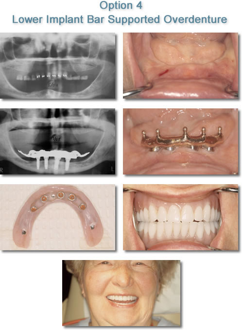
Removable Implant Supported Overdenture
Option 4: Removable Implant Supported Overdenture This type of prosthesis supported by implants has been the most common means of replacing an entire arch of teeth. This prosthesis resembles a conventional removable denture but does not rest on the patient's gum tissue. This prosthesis rests completely on the implants and is held securely in place by a variety of attachments.




The Removable Implant Supported Overdenture is a great option for a patient missing all of their teeth in the upper or lower jaw because it is more affordable than the Fixed Options and because it is more comfortable than a conventional denture.
The advantages of a Removable Implant Supported Overdenture over a conventional denture are numerous.
- In the upper jaw, the prosthesis does not cover the roof of the mouth.
- The prosthesis does not move and cause sore spots.
- The implant supported prosthesis stops the loss of bone that occurs with a conventional denture.
- The prosthesis restores facial dimensions and lip support that have been lost. In other words it reverses the Aging Process of Conventional Dentures.
The various attachments used to secure the Removable Implant Supported Overdenture to the implants are discussed with the patient at the Consultation Appointment.



